Swiss premium oral care Swiss premium oral care

Periodontitis: Symptoms, causes and the correct treatment

Almost every second person is affected – often without being aware of it. Periodontitis, also known as periodontosis, is the inflammation of the dental bed and the periodontium, which in advanced stages can result in gum recession and tooth loss.

In this article, you will discover what lies behind this diagnosis, how to treat it effectively and what causes it.

min read
Mar 2024
https://curaprox.zimbabwe.co.zw/blog/post/periodontitis-symptoms-causes-and-the-correct-treatment?srsltid=AfmBOoogX8FW6cj1w0-ROuB09wm8t-d9WBx0Fy7BY6dxB4EPobC87m-S
min read
Mar 2024
https://curaprox.zimbabwe.co.zw/blog/post/periodontitis-symptoms-causes-and-the-correct-treatment?srsltid=AfmBOoogX8FW6cj1w0-ROuB09wm8t-d9WBx0Fy7BY6dxB4EPobC87m-S

Periodontitis: Key facts in short

  • Definition: Periodontitis is an inflammation of the dental bed and periodontium.
  • Symptoms: The initial indicators include bleeding gums and swollen, reddened gums; followed by symptoms such as bad breath, pain and pus in more advanced stages. In severe cases of periodontitis, both the gums and the jaw bone can recede, potentially resulting in tooth loss. Moreover, periodontitis is also a risk factor for serious diseases.
  • Causes: Periodontitis is a bacterial infection caused by poor oral hygiene. It is often the result of untreated gingivitis and is exacerbated by specific risk factors.
  • Diagnosis: With the help of a special probe and X-ray images, a dentist assesses the severity of the periodontitis.
  • Treatment: Periodontitis cannot be entirely cured, but only halted in its progression. The dentist cleans the gum pockets to eliminate any plaque and tartar, thereby removing the inflammation-causing bacteria. Depending on the level of severity, antibiotic therapy or surgery may be necessary. Additionally, meticulous oral hygiene is paramount.
  • Preventative measures: The best way to prevent periodontitis is to brush your teeth thoroughly for at least three minutes twice a day, while cleaning the spaces between your teeth every day and maintaining a healthy diet. Furthermore, regular dental check-ups are instrumental in preventing the unnoticed progression of periodontitis.

Periodontitis: What is it?

Periodontitis is the medical term for chronic inflammation of the periodontium. Starting off as "harmless" gingivitis, it gradually develops into a serious problem:

The inflammation progressively destroys the gums and the bone. Due to a bacterial infection along the gum line, teeth become increasingly detached from the gums. The resulting gum pockets provide an ideal habitat for bacteria to multiply, further promoting the disease progression. As the gums and jaw bone recede to the point where the roots of the teeth are exposed and become loose, tooth loss is imminent.

Periodontitis or periodontosis: What is the correct term?

Periodontitis and periodontosis are colloquially used as synonyms. The official term, however, is periodontitis. While the term "periodontosis" is considered somewhat outdated, some doctors still use it to describe conditions involving gum recession and periodontal tissue recession without active inflammation.

Periodontitis and gingivitis: What is the difference?

Gingivitis is the technical term for inflammation of the gums – the precursor to periodontitis. In gingivitis, the inflammation only affects the gums and not the bones. Typically, acute gingivitis resolves within a few days.

Periodontitis, on the other hand, is a chronic disease. If gingivitis does not resolve on its own within a week and is left untreated, it can develop into periodontitis.

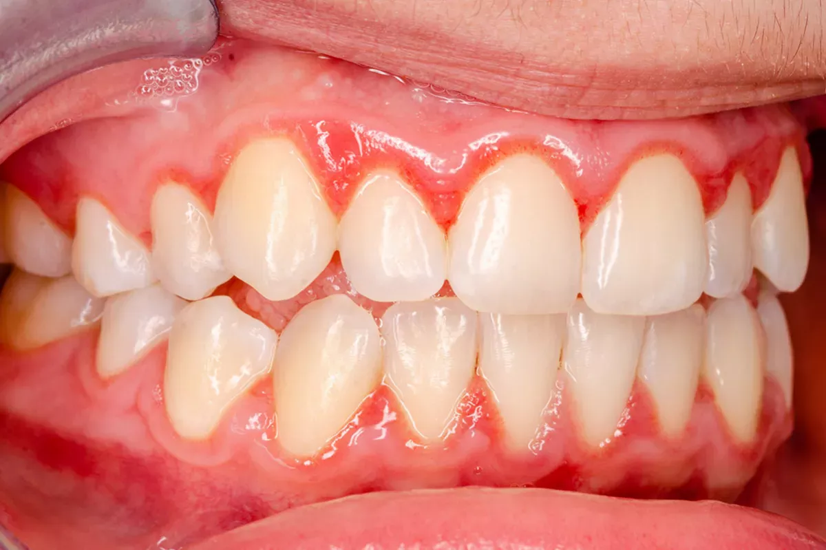
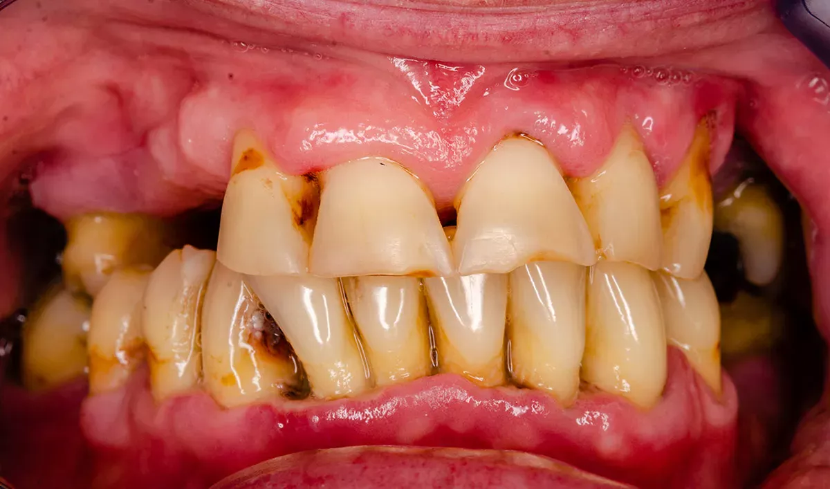
Gingivitis or periodontitis? The following images show the difference:

Image 1: Gingivitis: The gums are inflamed. They are reddened and slightly swollen.

Image 2: Advanced periodontitis: The gums have receded considerably and the necks of the teeth are exposed. Several teeth are already missing.

Is periodontitis contagious?

Yes, periodontitis is contagious. Given that it is a bacterial inflammation of the gum pockets, it is possible to transmit the disease-causing bacteria to other individuals. That is why you should not share your cutlery, glasses and water bottles with other people. Periodontitis can also be transmitted through kissing.

Good to know:

Even if two people are exposed to the same bacteria, it does not necessarily mean that both of them will get periodontitis. Besides bacteria, risk factors and oral hygiene are also crucial – read more about this in the "Causes" section .

Symptoms: The various stages of periodontitis

Early periodontitis

In its early stage, periodontitis is practically indistinguishable from common gingivitis for those suffering from it. A mild form of periodontitis is typically painless and is, therefore, often overlooked. The gum pockets are less than 3.5 millimetres deep and the gums still completely cover the root of the tooth.

Typical symptoms of early-stage periodontitis included:

  • Bleeding gums
  • Reddened gums
  • Swollen gums
  • Easily irritated gums

Moderate periodontitis

When periodontitis goes undetected for an extended period, more severe symptoms begin to manifest. The gum pockets are usually 3.5 to 5.5 millimetres deep.

Symptoms of moderate periodontitis:

  • Gum recession (recession of the gums; teeth start to look longer)
  • Bad breath
  • Unpleasant taste in the mouth
  • Pain in the affected areas
  • Pus discharges from the gums when applying pressure

Advanced periodontitis

It is typically in the advanced stage of periodontitis that those affected recognise the need for action – unfortunately this is often too late. For many, the sudden appearance of a loose tooth often occurs when the symptoms of mild and moderate periodontal disease have been overlooked. In fact, their periodontitis has been developing unnoticed for years. In the advanced stage, the gum pockets are over 5.5 millimetres deep.

Advanced periodontitis has the following symptoms:

  • Recession of the jaw bones
  • Loose teeth
  • Toothache when chewing
  • Exposed necks of the teeth
  • Tooth loss
  • Worldwide, periodontitis is one of the most common causes of tooth loss. In addition to the change in your appearance, a missing tooth can disrupt the chewing function and have a broader impact on your overall quality of life.

Effects on the rest of the body

Periodontitis, however, may not be limited to oral health alone. The inflammation can potentially enter the bloodstream through the gums and spread. This happens first in the head and neck area, possibly accompanied by the following symptoms:

  • Trouble swallowing
  • Throat pain
  • Ear pain
  • Swelling in the face
  • Swelling in the neck area
  • Difficulty talking
  • Lockjaw (restricted opening of the mouth)

Periodontitis as a risk factor for severe diseases

Unfortunately, tooth loss is not the worst thing about periodontitis. If the infection reaches other parts of the body, the consequences can be even more severe: It has now been scientifically proven that periodontitis adversely affects overall health in numerous ways. Individuals with periodontitis are at higher risk of being affected by the following diseases:

  • Heart disease (also a heart attack)
  • Stroke
  • Diabetes
  • Alzheimer's disease
  • Parkinson's disease
  • Rheumatism
  • Elevated blood pressure

Good to know:

The comprehensive systemic impact of periodontitis has also been identified through a study examining the correlation between periodontal disease and COVID-19. The result: Individuals with periodontitis exhibited a significantly elevated risk of experiencing a severe course of the disease: They were more likely to be treated in intensive care units, had to be ventilated more often and also experienced a higher mortality rate.

When does periodontitis need to be treated?

You may ask yourself: When is the right time to visit a dentist and start periodontal treatment? The answer is quite simple: As soon as you notice the first signs of the disease. If your gums bleed frequently or if your gingivitis still persists after a week, it is time to go and see a dentist. This may halt the progression of periodontitis and avert more extensive damage. However, the alarm bells should start ringing at the latest when you notice that your gums are receding and your teeth look longer.

The cause of periodontitis: Poor oral hygiene

The main cause of periodontitis is obvious: Periodontitis can only develop when there is plaque on the teeth.

Plaque and tartar as triggers of the disease

Plaque is a biofilm made up of food debris and bacteria that constantly forms on our teeth. If this plaque is not removed regularly – twice a day – it hardens into tartar. Plaque and tartar tend to accumulate more readily in the hard-to-reach interdental spaces and along the junction where the gum meets the tooth, known as the sulcus. Bacteria can settle and multiply particularly well on the rough surface of the tartar. The problem: These bacteria secrete toxins, metabolites and acids that have a detrimental impact on the gums. The immune system responds with a natural defence mechanism to inhibit the penetration of bacteria into the tissue: Gingivitis develops.

From gingivitis to periodontitis

If gingivitis fails to heal after about a week, it may indicate that the body's own defence mechanism has been overwhelmed, allowing the bacteria to gain the upper hand. The persistent inflammation causes the gums to detach further and further from the tooth. This leads to the formation of gum pockets, which can extend several millimetres in depth and prove challenging to clean, thereby creating an ideal breeding ground for bacteria. Due to the now larger gap between the tooth and the gums, plaque and tartar can accumulate within the gum pockets, where the hardened plaque is referred to as concretions or calculus.

The concretions and bacteria within the gum pockets intensify the inflammation, causing it to extend to the periodontium. The consequence in severe cases: The jaw bones recede and the teeth no longer sit firmly in the bone. Chewing causes pain and eventually teeth may fall out.

Risk factors

The severity or mildness of periodontitis, as well as its likelihood of developing, hinges not only on oral hygiene but also on the aggressiveness of the bacterial strain involved. Certain risk factors can favour the development of periodontitis:

  • Hereditary predisposition: Even when two people have the same bacteria in their mouths and maintain similar toothbrushing routines, the progression of periodontitis can vary significantly. The hereditary factor plays a major role, particularly in younger patients and children with periodontitis.
  • Pregnancy: During hormonal changes, there is an increased supply of blood to the gums, making them particularly sensitive and susceptible to bleeding.
  • Smoking: Smokers are over seven times more likely to develop periodontitis than non-smokers, as nicotine disrupts the body's defence mechanisms.
  • Diseases: Diabetes, rheumatoid arthritis and HIV favour the development of periodontitis.
  • Stress: Psychological stress and strain can compromise the immune system, reducing its ability to fend off bacterial attacks effectively.
  • Medical use of drugs: Certain ACE inhibitors and post-transplant immunosuppressants can also promote periodontitis.

Diagnosis: How a dentist diagnoses periodontitis

If you think you might have periodontitis or if your dentist detects anything unusual during a routine check-up, they will conduct a meticulous examination of your gum tissue, focusing on the gum pockets.

Periodontal screening index (PSI)

During periodontal screening, a dentist employs a special periodontal probe to measure the depth of gum pockets, assessing how advanced the periodontitis actually is. The dentist carefully inserts the probe into the gap between the tooth and the gum, examining multiple points around the tooth and ascertaining the depth of the gum pocket by reading the markings on the probe. The periodontal screening index contains four different levels of severity:

PSI 0: Healthy gums

PSI 1: Pocket depth less than 3.5 millimetres

PSI 2: Pocket depth less than 3.5 millimetres with tartar

PSI 3: Pocket depth between 3.5 and 5.5 millimetres

PSI 4: Pocket depth above 5.5 millimetres

BOP index: Bleeding on probing

If your gums bleed during the periodontal screening, it is a clear indication of inflammation. The dentist will document this as "positive bleeding on probing". But beware: If you smoke, "negative bleeding on probing" may provide a misleading sense of security. The gums of smokers often do not bleed despite inflammation due to a reduced supply of blood to the gums.

X-ray image and further examinations

If pocket probing confirms the presence of periodontitis, your dentist may request an X-ray image. It will let your dentist know whether the jaw bones have already receded.

Furthermore, the dentist can evaluate the mobility of your teeth: Normally, teeth do not shift out of place. In cases of severe periodontitis, however, a patient may be able to move a tooth more than two millimetres back and forth using their tongue or lip.

Based on the results of the examination, the dentist will suggest a suitable therapy and inform you about the further course of treatment.

Therapy: How the treatment of periodontitis works

After being diagnosed with periodontitis, you are probably wondering: Can periodontitis be cured? Unfortunately, you cannot undo the damage that has already been done. The treatment of periodontitis therefore aims to stop the disease and prevent it from getting worse. The duration of periodontitis treatment depends on the severity of the disease.

Periodontitis treatment

Instruction in oral hygiene

Following the diagnosis, dental professionals will provide you with guidance on proper oral care and demonstrate the techniques and tools to effectively maintain dental and interdental hygiene, thereby preventing the progression of periodontitis.

"Closed" treatment: Scaling/curettage

The first step that is really hands-on is the so-called scaling or closed curettage. During this procedure, dental professionals manually or with the aid of an ultrasonic device remove tartar and plaque from the gum pockets to eliminate disease-causing bacteria.

They then smooth the roots of the teeth to prevent future plaque accumulation and to facilitate gum recovery from bacterial damage. To ensure this cleaning procedure is painless, it is usually done under local anaesthetic. The closed treatment is often enough to stop periodontitis in its tracks.

Good to know:

Only the anatomic crown of the tooth is surrounded by protective enamel. The gums are actually responsible for protecting the root of the tooth. This is why the "open necks of the teeth", which are exposed when the gums recede, can be extremely sensitive.

Medical treatment: Antibiotic therapy

In cases of particularly aggressive germs and severe forms of progression, antibiotics may be used in conjunction with closed treatment as a supplementary measure. If necessary, your dentist will prescribe appropriate medication for treating periodontitis.

"Open" treatment: Surgery

During the next treatment appointment, which can be either a few weeks or even months after the first appointment, your dentist will examine the gum pockets again. If the inflammation has subsided, you are fortunate and you will only need to follow the recommendations provided during the instruction in oral hygiene and maintain diligent dental care as part of your ongoing therapy. However, if the inflammation persists or your gum pockets are particularly deep, surgery with a scalpel may be necessary.

In the "open" treatment, the dentist separates the gums from the tooth under local anaesthetic, effectively opening up the gum pockets. This enables the removal of deep-seated calculus, debris and diseased tissue, after which the gums are sutured back together, providing a snug fit around the tooth for improved protection against bacteria. After about a week, your dentist will remove the stitches.

After-care and check-ups

A few months after the surgical procedure, it is time for a check-up where your dentist will re-measure the gum pockets and, if necessary, remove any plaque. Once you have completed the periodontal treatment, it is recommended to have annual periodontal check-ups to monitor the health of your gums.

Is periodontal treatment painful?

As your dentist will usually perform the treatment under local anaesthetic, you will not experience any pain during the procedure. This applies both to the open and to the closed treatment methods. If you have any fears, periodontal treatment can also be performed under general anaesthetic. You should, however, know that a general anaesthetic carries higher risks and potential side effects compared to a local one.

Once the numbing effect has worn off, you may experience typical post-procedure discomfort, which can be alleviated with over-the-counter painkillers. Always consult your dentist before use.

Dental care when suffering from periodontitis

Cleaning of the gum pockets by a dentist is only the first step, acting as a "reset" to promote inflammation-free gums. After that, it is up to you. You can only prevent the progression of periodontitis by taking extra special care of your teeth. Otherwise, bacteria can recolonise in the gum pockets. Diligent dental care involves brushing your teeth for at least three minutes twice a day: in the morning after breakfast and at night before going to bed. Find some additional tips for dental care when dealing with periodontitis below:

Which toothbrush should you use when suffering from periodontitis?

To avoid further gum recession and irritation of sensitive gums, never use a hard toothbrush. It is better to clean your teeth delicately yet thoroughly using a super-soft toothbrush that is gentle on your gums.

Good to know:

With the CS 12460 velvet toothbrush from Curaprox , the name says it all: The 12,460 super soft filaments guarantee a velvety-soft cleaning experience. They are not only particularly gentle on your gums, but also extremely fine and flexible and can, therefore, remove plaque highly effectively.

Which toothpaste should you use when suffering from periodontitis?

If you have periodontitis, you should avoid toothpastes with aggressive ingredients. These include, for example, bleaching agents found in whitening toothpastes or the chemical foaming agent SLS (sodium lauryl sulphate), which can irritate mucous membranes. It is also wise to steer clear of abrasives that can harm enamel and irritate your gums.

You can find out how much your toothpaste erodes your enamel by looking at the RDA (relative dentin abrasion) value. The RDA value for most standard toothpastes is within a range of 70 to 100. Above 100, toothpastes are no longer suitable for daily use. However, if you suffer from periodontitis, we recommend using a toothpaste with an RDA value of below 60.

Good to know:

The toothpastes of the Curaprox Enzycal series do not contain any harmful ingredients and have an RDA value of 30 to 60, making them particularly mild. A big bonus: With three enzymes that are also found in saliva, they naturally enhance the body's bacterial defence, providing gentle and effective protection against bacteria.

Cleaning interdental spaces when suffering from periodontitis

Bacteria tend to thrive in the hard-to-reach spaces between teeth. It is, therefore, particularly important to clean your interdental spaces daily to eliminate this breeding ground for bacteria.

Multiple studies have demonstrated that interdental brushes are more effective than dental floss for cleaning interdental spaces in patients with periodontitis: On the one hand, they remove plaque more effectively and, on the other hand, they also lead to less frequent gum bleeding.

Good to know:

Conventional interdental brushes are often too hard and inflexible for patients with periodontitis and can therefore cause pain during use. That is why Curaprox developed the CPS perio interdental brush specially for use when suffering from periodontitis. The brushes are suitable for larger spaces between the teeth and feature particularly soft filaments.

Important: The interdental brush is available in four different sizes. Consult your dentist for advice on which one is best for you. If that is not an option, begin with the smallest interdental size and gradually progress to the next size if there is no resistance when inserting the brush into the interdental spaces.

Mouthwashes or gels with chlorhexidine

Chlorhexidine is the gold standard for treating bacterial infections in the mouth. This active ingredient is used for inflammation of the gums, periodontitis and also before and after dental surgery. It rigorously kills all oral bacteria, ensuring that the natural bacterial balance is restored.

However, since chlorhexidine does not differentiate between "good" and "bad" bacteria, only use mouthwashes containing chlorhexidine if you have been recommended to do so by your dentist. In case of a large-scale attack, we recommend using chlorhexidine in the form of a mouthwash. If one area is particularly affected, you can also use a gel against periodontal disease.

But there is also a drawback to chlorhexidine: The active ingredient can lead to an altered taste sensation and cause brownish discolouration of the teeth.

Good to know:

The mouthwashes and gels of the Perio plus range from Curaprox not only incorporate the established active ingredient chlorhexidine but also use Citrox®, a natural extract from bitter oranges. This enhances the efficacy of chlorhexidine and makes these dental care products even more efficient in preventing plaque formation. This has been shown through a study carried out by the University of Bern. Consequently, it became possible to reduce the concentration of chlorhexidine, which, in turn, minimises its adverse effects, such as altered taste perception and tooth discolouration. Interesting fact: The Perio plus toothpaste with chlorhexidine can also be used to support treatment.

Xylitol against periodontitis

Xylitol, also known as birch sugar, is a sugar substitute with a sweet taste that is not harmful to teeth and gums, unlike standard sugar. Quite the contrary: Xylitol can aid in the treatment of periodontitis by inhibiting the metabolism of harmful oral bacteria, thereby reducing plaque formation. It is frequently found in dental care chewing gums and can also be present in mouthwashes or toothpastes designed for combating periodontitis.

Good to know:

Xylitol is at least partly responsible for the delightful flavours of the Curaprox 'Be you' toothpastes – ranging from apple and citrus fruit to gin tonic. With an RDA value of 30 to 60, these toothpastes with a gentle whitening effect through naturally occurring enzymes are even suitable for people suffering from periodontitis. Xylitol is also to be found in these Curaprox products:

Changing your diet when suffering from periodontitis

Our diet plays a critical role when it comes to oral health. Everybody knows that sugar is bad for your teeth and promotes dental decay. However, the same principle applies to the gums, periodontium and all other parts of the body: Sugar promotes all kinds of inflammation. Therefore, if you are suffering from a periodontal disease, avoid sugar as much as possible, including sweets, soft drinks and 'hidden sugars' in your diet. Often, sugar is used as a flavouring and bulking agent in ready-made products and fast food. Too much meat – especially pork – can also contribute to inflammation.

Rather than exacerbating inflammation with a high-sugar diet, you can harness the power of food to reduce inflammation. Nutrition experts recommend the so-called Okinawa diet for periodontitis. The Okinawa menu includes leafy vegetables, mushrooms, root vegetables, buckwheat, sweet potatoes as well as fish and seafood.

Does alternative periodontal treatment make sense?

You may be asking yourself whether self-treatment for periodontisis is possible as an alternative to undergoing potentially uncomfortable dental procedures. Unfortunately, the answer to that question is a resounding no.

Given that periodontitis is a serious disease with broad implications, it is absolutely crucial not to take its treatment lightly by experimenting with home remedies or alternative treatments.

Homoeopathic remedies like globules and other naturopathic treatments can be considered as complementary options to conventional treatment, but it is essential to always talk to your dentist before incorporating them. However, they cannot replace professional treatment performed by a dentist.

Important: Remember there is no scientific evidence that homoeopathic remedies actually work. Any improvement is most likely down to a 'placebo effect'.

Are there any home remedies for periodontal disease?

To alleviate gum inflammation, rinsing the mouth multiple times a day with anti-inflammatory teas like sage, ginger, hibiscus, peppermint or chamomile tea can be helpful – but make sure the tea has cooled down to a safe temperature before rinsing your mouth.

Some people also swear by mouthwashes made of warm water and salt, or water with a few drops of tea tree oil. However, seeing as periodontitis is a more advanced disease, these remedies are usually not enough. For this reason, please consult your dentist to determine the suitability of home remedies as a complement to your actual therapy.

What you should definitely avoid doing though is: using baking powder as a home remedy for periodontal disease, as the coarse particles of sodium bicarbonate can erode the enamel on your teeth. The roughened tooth surface is then the perfect breeding ground for bacteria.

Preventative measures: Five tips to prevent periodontitis

Obviously, it is best to prevent periodontitis before it even occurs. Here are five helpful tips for healthy gums and a healthy periodontium:

1. Use the right toothbrushing technique

Although toothbrushing is something we do every day, there are so many mistakes you can make: Instead of applying a lot of force, it is better to use a correct, gentle and thorough brushing technique. For optimal plaque removal, begin by targeting the often neglected and hard-to-reach areas, such as the inner surfaces of your back molars. Brush from one side to the other, always following the same pattern:

  1. Inside bottom
  2. Outside bottom
  3. Chewing surfaces bottom
  4. Inside top
  5. Outside top
  6. Chewing surfaces top

This pattern ensures no spots are missed or forgotten. Important: Position the brush at a 45-degree angle where the teeth meet the gums, and at an upward sloping angle in the upper jaw and a downward sloping angle in the lower jaw. Clean the teeth with small, circular movements.

2. Use interdental brushes every day

Cleaning the spaces between your teeth with interdental brushes every day should always be part of your daily toothbrushing routine – not just after a periodontitis diagnosis. And it is so easy to do: In, out, done.

Interdental brushes are available in various sizes, depending on the size of the gaps between your teeth. However, it is important to choose the right size. If the brushes are too small, they do not clean thoroughly enough. If they are too big, they can cause pain. Your dentist can determine the right size for you and provide professional guidance.

Good to know:

If you have not cleaned your interdental spaces regularly in the past, your gums may bleed at first. This is due to pre-existing minor gum inflammation and a sign that you should definitely continue to remove the bacteria. Do not worry: usually, the bleeding stops after about a week. If not, go and have a dentist check your teeth and gums.

3. Eat lots of fruit and vegetables

An effective preventive measure against periodontal disease is adopting an anti-inflammatory diet. Fruits and vegetables often contain anti-inflammatory phytonutrients. Nutrition experts therefore recommend two handfuls of low-sugar fruit and three handfuls of vegetables – either raw or cooked – every day. Spices such as turmeric, ginger and chilli also have an anti-inflammatory effect. Omega-3 fatty acids, which are found mainly in cold-water fish and vegetable oils, also exhibit anti-inflammatory properties.

4. Quit smoking

As you already know, smokers are over seven times more likely to develop periodontitis than non-smokers. Furthermore, gingivitis in smokers has a particularly good chance of remaining unnoticed, silently progressing into periodontitis. The first sign – bleeding gums – often does not manifest due to a reduced supply of blood to the gums in smokers. So, if you quit smoking, not only your gums and periodontium, but also your lungs and your entire body will be truly grateful.

5. See a dentist regularly

Given the fact that early-stage periodontitis is very difficult to identify, it is crucial to undergo regular professional oral examinations, ideally twice a year during your dental check-ups. A trained medical professional can recognise the first signs of the disease.

Additionally, it would not be a bad idea to have your teeth cleaned professionally once or twice a year to remove plaque and tartar. By doing so, you effectively deprive the periodontitis-causing bacteria of their favourite habitat.

Sources

Apothekenumschau: Parodontitis.

German Dental Association: Fünfte Deutsche Mundgesundheitsstudie (DMS V) – Kurzfassung.

Charité Universitätsmedizin Berlin: Parodontitis: Genetische Risikofaktoren.

DG Paro: Parodontitis.

Gomes Amaral, Taisa et al.: Systematic Review on the Use of Homeopathy in Dentistry: Critical Analysis of Clinical Trials , in: The Journal of Alternative and Complementary Medicine. 2021.

Hacke, Daniela: Selbstheilungskräfte stärken bei chronischer Parodontitis , at: carstens-stiftung.de.

Heinrich, Christian: Wirkt Homöopathie wirklich? , at: helmholtz.de.

Imai, PH et al.: Comparison of interdental brush to dental floss for reduction of clinical parameters of periodontal disease: a systematic review , in: Database of Abstracts of Reviews of Effects. 2012.

Jackson, Margaret et al.: Comparison of Interdental Cleaning Methods: A Randomized Controlled Trial, in: Journal of Periodontology . 2006.

Jayekumar, Jenaniy et al.: Anti-biofilm Activity of Oral Health-care Products Containing Chlorhexidine Digluconate and Citrox , in: Oral Health & Preventive Dentistry. 2020.

German National Association of Statutory Health Insurance Physicians: Ursachen und Auswirkungen.

Kostenfalle-zahn.de (an offer of the Federation of German Consumer Organisations): Wie wird eine Parodontitis behandelt?.

Kwon, TaeHyun et al.: Current Concepts in the Management of Periodontitis , in: International Dental Journal. 2021.

Marouf, Nadya et al.: Association between periodontitis and severity of COVID-19 infection: A case–control study , in: Journal of Clinical Periodontology. 2021.

NDR: Parodontitis: Symptome, Behandlung, Vorbeugung.

NDR: Richtige Ernährung ist hilfreich gegen Parodontitis.

Preshaw, Philip et. al.: Periodontitis and diabetes , in: British Dental Journal. 2019.

Probol, Britta: Entzündungen mit gesunder Ernährung lindern , at: ndr.de.

Sanz, Mariano et al.: Periodontitis and cardiovascular diseases: Consensus report , in: Journal of Clinical Periodontology. 2020.

Slot, D.E. et al.: The efficacy of interdental brushes on plaque and parameters of periodontal inflammation: a systematic review , in: International Journal of Dental Hygiene. 2008.

Tiefenböck, Florian: Parodontitis , at: netdoktor.de.

Ubertalli, James T., Parodontitis , at: msdmanuals.com.

Van Dyke, Thomas et al.: Risk Factors for Periodontitis , in: Journal of International Academic Periodontology. 2005.

Federation of German Consumer Organisations: Parodontitis-Therapie: Was zahlt die Kasse?

Woelber, J.P. et al.: An oral health optimized diet can reduce gingival and periodontal inflammation in humans - a randomized controlled pilot study , in: BMC Oral Health. 2017

All websites last accessed on 15 May 2023.

https://curaprox.zimbabwe.co.zw/blog/post/periodontitis-symptoms-causes-and-the-correct-treatment?srsltid=AfmBOoogX8FW6cj1w0-ROuB09wm8t-d9WBx0Fy7BY6dxB4EPobC87m-S