Swiss premium oral care Swiss premium oral care

How to combat gingivitis!

Detecting red marks after biting into a succulent apple may give you quite a fright: Your gums are bleeding. This is often the first sign of gum disease, also known as gingivitis.

Discover everything you need to know in this article about what gingivitis is exactly, how you can treat it and why you should never take it lightly.

min read
Sep 2023
https://curaprox.zimbabwe.co.zw/blog/post/how-to-combat-gingivitis
min read
Sep 2023
https://curaprox.zimbabwe.co.zw/blog/post/how-to-combat-gingivitis

Gingivitis: Key facts in short

  • Symptoms: The gums are red, swollen, easily irritated and tend to bleed.
  • Duration: With good and thorough oral hygiene, acute gingivitis heals within a few days. If it has not gone away after a week, make an appointment to see your dentist.
  • Consequences when left untreated: If you ignore the signs, you run the risk of chronic gingivitis, potentially progressing to periodontitis – inflammation of the periodontium – and culminating in tooth loss.
  • Causes: In most cases, gingivitis is the result of poor oral hygiene. However, it can also be triggered by injuries to the gums, medication, infections and certain risk factors.
  • Type of treatment: First of all, rigorous and meticulous oral hygiene is paramount. In addition, anti-inflammatory and antibacterial mouthwashes can help speed up the healing process.
  • Preventative measures: Thorough toothbrushing, a wholesome diet and routine dental check-ups are the best ways to prevent gingivitis.

Definition: What is gingivitis?

Gingivitis is the technical term for inflammation of the gums. It is an infection of the gums caused by germs from the oral cavity. Usually, bacteria are the culprits, yet fungi and viruses can also trigger inflammation of the gums.

Gingivitis typically progresses as follows: If your teeth and interdental spaces are not cleaned regularly and thoroughly, plaque forms, particularly along the gum line. Bacteria and other germs can spread and multiply wonderfully in this plaque. And attack the gums. The consequence: The gums start to bleed, swell and are easily irritated – all typical symptoms of gingivitis.

Is gingivitis dangerous?

Acute gingivitis poses no major threat and usually heals within a few days. In fact, it is very common. Nevertheless, you should not take gingivitis lightly. If it is left untreated and progresses into chronic gingivitis, it can have serious consequences. The bacteria can spread further and further. Leading to the formation of gum pockets in which bacteria can nestle and go undisturbed. The gums recede and expose the necks of your teeth. Periodontitis is a potential risk.

Digression: Gum pockets

Gum pockets form when the gums are no longer snug against the root of the teeth but have pulled away from them. The deeper the gum pocket, the easier and further down the bacteria can spread, making the inflammation even worse. Dentists can determine the depth of gum pockets with a periodontal probe. If the teeth, gums and periodontium are healthy, the probe will touch the bone after only 1 to 2 millimetres. With acute gingivitis, this value is up to 3.5 millimetres, since the gums are swollen. In cases of severe periodontitis marked by bone and gum recession, gum pockets can even exceed 10 millimetres. A value of 5.5 millimetres and more indicates moderate to severe periodontitis.

Periodontitis or gingivitis?

The relatively harmless gum disease gingivitis is often confused with the far more serious condition called periodontitis. The big difference: With gingivitis, only the gums are affected by the inflammation. While with periodontitis, the inflammation also spreads to the bones. Not only the gums recede, but also the jaw bones. This is why we also speak of an inflammation of the periodontium, which can lead to tooth loss in severe cases.

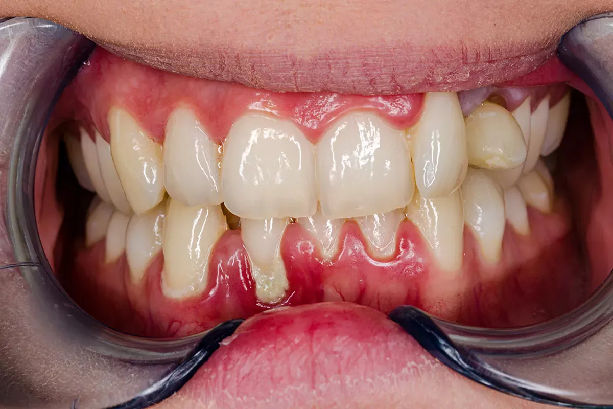
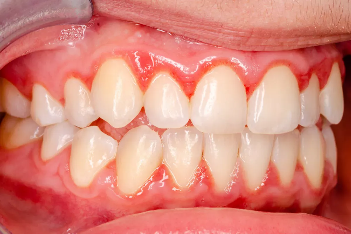
The following images clearly illustrate the difference between gingivitis and periodontitis: Gingivitis is the early stage of periodontitis.

Good to know:

Tooth loss is actually not the worst consequence of periodontitis. Through the gums, the bacteria can enter the bloodstream, potentially affecting both the heart and the brain. It has been scientifically proven that periodontitis increases the risk of heart attacks and strokes.

Is gingivitis contagious?

As gingivitis is usually a bacterial infection, it is also contagious and can be transmitted through saliva. So, if you have gingivitis, please refrain from sharing glasses, cups and cutlery with other people or drinking from the same bottle.

Symptoms: How do I recognise gingivitis?

The first sign is usually bleeding gums: When brushing your teeth, the toothpaste you spit out is not white, but reddish. Biting into an apple leaves a metallic aftertaste and red marks. And when cleaning the interdental spaces, blood runs through the teeth, even without exerting excessive pressure with the interdental brush or flossing too harshly. When you look at the spot that is bleeding, you will notice that the gums are red and swollen. These are all symptoms of acute gingivitis.

Acute gingivitis does not usually cause pain and will disappear on its own within one to two weeks if you take extra care and clean your teeth thoroughly during this time. If it does not go away, medical professionals speak of chronic gingivitis, which can also cause pain. The following accompanying symptoms may occur:

  • Toothache
  • Jaw pain
  • Throat pain
  • Ear pain
  • Very bad breath (foul odour)
  • Pus discharged from the gums when applying pressure
  • Swollen lymph nodes
  • Inflamed oral mucosa

Good to know:

Gingivitis does not necessarily cause the gums to bleed. Especially among smokers, gingivitis can manifest without the gums bleeding due to a reduced supply of blood to the oral mucosa caused by the substances contained in cigarette smoke. Smokers therefore run the risk of overlooking gingivitis.

Special case: Acute necrotising ulcerative gingivitis (ANUG)

Acute necrotising ulcerative gingivitis is a more severe form of gum disease. This aggressive form of gingivitis is very rare and normally only affects people that have a weak immune system. The severe bacterial infestation causes ulceration of the gums. The consequence: The gums are completely destroyed.

Causes: Where does gingivitis come from?

An estimated 80 per cent of adults occasionally suffer from gingivitis, often without even knowing it. It is, therefore, a widespread disease. But what actually causes gingivitis? And why does it occur so often?

Main cause: Poor oral hygiene

The bitter truth is: Insufficient toothbrushing is by far the most serious cause. Our oral cavity is the perfect habitat for countless bacteria that feed on food debris. The more food left in your mouth, the faster the bacteria can spread. They produce a biofilm that settles on your teeth and also the gum line. Within this biofilm, bacteria are well protected against the immune system's defences, enabling them to thrive and multiply. The consequence: Plaque develops – within just 24 hours.

If this plaque is not removed thoroughly twice a day with a toothbrush, the bacteria take control, releasing metabolites, acids and toxins that attack the gums. Particularly susceptible to this bacterial attack is the sulcus – a small, V-shape groove (one to two millimetres deep) at the junction where the gum meets the tooth. At this point, the tooth is not firmly attached to the gum. Once the aggressive bacterial excretions reach this spot, inflammation of the gums is triggered.

Plaque and tartar

If you fail to remove plaque regularly, minerals from saliva will build up and harden it into tartar. The difference between plaque and tartar is that you can brush plaque away with a toothbrush, but not tartar. Tartar can only be removed by dental professionals using proper tools. The rough surface of tartar becomes a real breeding ground for bacteria, facilitating their prolific growth and the secretion of even more harmful metabolites that stimulate gum inflammation.

Gum injuries

Wounds in the gums can also cause gingivitis if bacteria settle there. The causes of gum injuries are manifold:

Brushing your teeth too hard

If you believe vigorous tooth scrubbing is beneficial, you are mistaken. Proper toothbrushing is based on two principles: Thoroughly and gently. If you brush your teeth with a hard brush, you are at risk of damaging your gums. If bacteria then spread in the wound, gingivitis is imminent. In addition, hard toothbrushes fail to entirely eliminate plaque due to their inflexible filaments. It is better to always brush your teeth with a soft toothbrush with dense filaments.

Good to know:

You can also injure your gums with dental floss. Applying excessive pressure when pulling the thread through a narrow gap can inadvertently result in cutting into the gum with brute force. A good alternative: Interdental brushes pose a significantly lower risk of injury and are easier to handle.

Dental treatments

Inflammation of the gums can also occur after major dental procedures, such as wisdom tooth extraction or root canal treatment, when bacteria infiltrate the relatively extensive wound. In most cases, however, this inflammation only occurs briefly after dental treatments and promptly subsides.

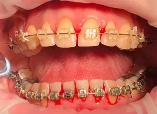
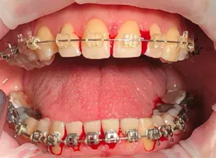
Pressure points from braces or dentures

Denture and brace wearers are especially susceptible: Pressure points often develop on the gums underneath the denture or braces that can quickly become inflamed due to bacterial accumulation.

Another risk factor with implants: Normally, blood circulation helps to remove bacteria. The image below illustrates the connections between gum and tooth, or tooth and jawbone. This blood circulation no longer exists with implants. Hence, the sulcus needs extra care when wearing implants.

Good to know:

Gingivitis around implants is termed peri-implant mucositis, while the equivalent of periodontitis at implants is called peri-implantitis. The risk of gum issues with implants is substantial: It is estimated that following implant therapy up to 50 per cent of patients suffer from peri-implant mucositis and up to 43 per cent from peri-implantitis. But how can this be prevented? Prevention lies in rigorous oral hygiene, encompassing interdental space cleaning using special interdental brushes for implants .

Braces pose an additional problem: If not cleaned regularly, plaque adheres readily to brackets, creating an ideal environment for gingivitis-inducing bacteria to thrive. Therefore, meticulous dental care is of paramount importance for wearers of braces. Otherwise, there is a potential risk of chronic gingivitis due to bacteria accumulation around the brackets.

Medications

Certain medications can also promote gingivitis. These include:

  • ACE inhibitors
  • Medications that inhibit the immune system (immunosuppressants)
  • Antiepileptic drugs

If you suspect that your gingivitis is due to a specific medication, consult the package leaflet to ascertain whether gingivitis is listed as a possible side effect. If this is the case, have a word with your doctor about potential alternatives. Please do not simply stop taking the medication on your own.

Other infections

In rare cases, infection can manifest even with thorough toothbrushing and is usually caused by viruses and fungi.

Viral infections

When gingivitis is triggered by a herpes virus, it becomes particularly painful: Small blisters or small yellow or white sores appear inside the mouth. The gums are bright red. This is also referred to as aphthous stomatitis. Regrettably, meticulous toothbrushing does not provide relief in this case. During this period, it is advisable to employ an ultra-soft toothbrush and brush your teeth extra carefully. Usually, the viral infection improves within a fortnight even without treatment. A pain-relieving mouthwash can help to alleviate the discomfort.

Fungal infections

A fungal infection in the mouth is usually oral thrush. It is often caused by exceptional fungal growth after antibiotic treatment or due to the deterioration of a person's overall state of health. Oral thrush manifests as white patches or spots expanding on the gums, tongue and at the corners of the mouth that can often be wiped off. Oral thrush is treated with antifungal medicines in the form of a mouthwash or lozenges.

Risk factors: What promotes gingivitis?

Some individuals experience bleeding gums with minimal plaque, while others endure no gum discomfort at all despite substantial tartar buildup. This could be attributed to hereditary predisposition. There are, however, other risk factors:

Illnesses and deficiencies

Certain diseases promote the development of gingivitis. These include:

  • Metabolic disorders
  • Diabetes
  • Leukaemia
  • COVID-19
  • Vitamin deficiency
  • Iron deficiency

Good to know:

Roughly 25 per cent of children with leukaemia exhibit gingivitis as the first sign of their illness. The leukaemia cells migrate to the gums, inciting inflammation. Similar to normal acute gingivitis, the gums are red and swollen. With leukaemia, however, gum bleeding lasts for several minutes or even longer, as the disease interferes with blood clotting.

Hormonal changes

Hormonal imbalance impacts blood circulation in the gums. Gingivitis is, for example, particularly common during pregnancy, puberty, menopause and menstruation. During the first trimester of pregnancy, heightened oestrogen levels cause a very strong flow of blood to the gums, making them more sensitive and vulnerable.

Smoking

Smoking limits the blood circulation. This is particularly true for the fine blood vessels around the mouth: Dry mouth and a lack of nutrients and oxygen promote gingivitis.

Stress and psyche

Stress and psychological strain weaken the body's overall immune defence, facilitating the wider spread of inflammations, including gingivitis. This was also confirmed by a study conducted by the University of Zurich that assessed the dental health of 50 students. Half of them were about to sit their exams, while the other half were going about their regular university activities.

The result: The oral health of the examinees had worsened significantly by the final day of the exams. Six out of the 25 examinees had developed severe gingivitis. In the "stress-free" group, only one study participant reported new gum issues.

Dry mouth

When your mouth feels as parched as a desert, beware, as this facilitates gum inflammation. This is due to the absence of the antibacterial effect of saliva, which protects not only the teeth but also the gums and oral mucosa against germs. As a result, bacteria can multiply particularly quickly and attack the gums.

Dry mouth: Causes and remedies

Diagnosis of gingivitis: When should you consult a health care professional?

If your gum inflammation does not improve, you should consult your dentist after one week at the latest to have it examined and to prevent potential complications such as periodontitis. Your dentist can usually recognise gingivitis with the naked eye. To assess the risk of periodontitis, your dentist will measure the sulcus, the groove between the tooth and the gum, using a probe. Ideally, this gap should be less than three millimetres deep. If the value is higher, gum pockets may have already formed, which is a sign of periodontitis.

Your dentist may suggest further examinations: An X-ray of the jaw shows whether bone has already been destroyed by periodontitis. A saliva test provides information about the type of bacteria that caused the gum inflammation. Your dentist will then recommend a suitable method of treatment.

Treatment: What helps with gingivitis?

Thorough dental care is essential when you have gingivitis. Find out below how to care for your teeth and gums in this situation and what else you can do.

Thorough oral hygiene

Although it may be unpleasant and even bleed – cleaning your teeth thoroughly is absolutely essential, as this is the most effective remedy against bacterial gingivitis. Acute gingivitis will thus disappear on its own. However, you should keep a few important things in mind to avoid further damage to your gums. Even if you already have gingivitis, brushing your teeth should not be a big ordeal. Therefore, be as gentle and as careful as possible when brushing your teeth.

When and how often should you brush your teeth?

If you are suffering from gingivitis, brush your teeth as usual twice a day for about three minutes – ideally in the morning after breakfast and at night before going to bed. Make sure to brush all areas of your teeth thoroughly to eliminate all the plaque and bacteria from every tooth surface.

Which toothbrush should you use when suffering from gingivitis?

If your gums are already inflamed and irritated, opt for an ultra-soft toothbrush. This prevents further gum injuries, gum recession and pain when brushing. Additionally, choose a toothbrush with very dense filaments to ensure thorough plaque removal while brushing.

Because: The more filaments a toothbrush head has, the finer and softer they need to be. Since hard filaments lack flexibility and, consequently, cannot adequately clean the complete tooth surface.

Good to know:

The Curaprox CS 12460 toothbrush speaks for itself: Boasting 12,460 ultra-fine filaments, it offers a gentle yet thorough cleaning experience that is both kind to gums and exceptionally deep-reaching.

Which toothpaste should you use when suffering from gingivitis?

Steer clear of toothpastes containing harsh bleaching agents, abrasive substances that damage the enamel and detrimental ingredients like SLS (sodium lauryl sulphate). This active ingredient is responsible for strong foaming but is also suspected of causing irritation and oral mucosa dryness. Especially in the case of gingivitis, a toothpaste should aid gum healing without further irritating the inflamed area. Therefore, choose a mild toothpaste with natural ingredients.

Good to know:

The Curaprox toothpastes of the Enzycal series stimulate saliva production with the help of three natural enzymes also present in saliva. So, besides cleaning your teeth in a particularly gentle way, you support the antibacterial effect of the saliva and thus also the healing process of gingivitis.

Cleaning interdental spaces

Plaque loves to nestle between teeth. The spaces between your teeth are a real breeding ground for bacteria, which also love to attack your gums. To remove these bacteria, use an interdental brush to clean between your teeth once a day.

Does dental floss also work? If you can help it, do not use dental floss. It has been scientifically proven that interdental brushes are much more effective than dental floss when it comes to cleaning interdental spaces. Moreover, there is no risk of inadvertently cutting your gums with an interdental brush, which could exacerbate gingivitis.

There is one exception to this, however: If your interdental spaces are too narrow for interdental brushes – as can be the case between the incisors, for example – dental floss is the right choice.

The following images illustrate the efficacy of interdental brushes against gingivitis:

The patient came to the dental practice with gingivitis. The dentist explained to her how to use interdental brushes. During the first examination, the inflammation value was 100 per cent. After two weeks, during which the patient regularly cleaned her interdental spaces with an interdental brush, the value had dropped to 46 per cent. During the third examination, one month later, the inflammation had healed completely.

Good to know:

For individuals with advanced gingivitis progressing to periodontitis, consider employing the Perio interdental brush designed specifically for periodontitis patients, thereby enabling gentle cleaning of the interdental spaces.

Antibacterial mouthwash with chlorhexidine

The gold standard for treating oral cavity inflammation is the active ingredient chlorhexidine, which, simply put, kills all the bacteria in the mouth. At the same time, the molecules of the active ingredient adhere to the tooth surface and oral mucosa and prevent the formation of fresh plaque.

Chlorhexidine is available as mouthwashes, ointments or gels, and your dentist will suggest the right solution and treatment. If only a small area of your gums is inflamed, we recommend applying gel precisely to the affected area. For more extensive gum inflammation, a mouthwash is the right choice.

Unfortunately, dental care products containing chlorhexidine also have a downside: They can change the way foods taste and cause your teeth to turn brown.

Good to know:

Besides chlorhexidine, the mouthwashes and gels of the Curaprox Perio plus series also contain Citrox® – a natural extract from bitter oranges that enhances the efficacy of chlorhexidine. For example, the Curaprox Perio plus dental care products contain less chlorhexidine than is usually the case. This means less discolouration and no altered taste sensation.

Professional plaque and tartar removal

Unfortunately, thorough toothbrushing alone will not remove bacterial plaque completely, especially if you have not always been diligent about oral hygiene and tartar has already formed. In order for your gingivitis to heal as quickly as possible, the rock-hard plaque on which bacteria lurk should be removed by your dentist using special equipment. This prevents new infections from occurring.

Diet

When suffering from gingivitis, avoid acidic drinks and foods such as soft drinks and acidic fruit to allow your gums to heal properly and not become a long-term problem.

Medications

If you are also suffering from severe pain, you can take an anti-inflammatory painkiller with the active ingredient ibuprofen to help you control your gum inflammation. If it has still not gone away after a few days, be sure to go and see your dentist. If you have a severe case of gingivitis, your doctor might also prescribe antibiotics.

Homoeopathy

Some people swear by homoeopathic remedies such as globules to combat gingivitis. The German magazine Deutsche Apotheker Zeitung recommends Mercurius solubilis D12 for slightly bleeding, spongy gums and Silicea D12 for periodontitis with bleeding gums and sensitive exposed necks.

However, the magazine also advises readers to go and see a dentist if their symptoms do not get better. If you want to treat your gingivitis with homoeopathic remedies, it is best to consult an alternative health practitioner.

Important to know: The effectiveness of homoeopathic remedies has not yet been backed up by scientific evidence. If symptoms improve through homoeopathic remedies or practices, the cause is, according to the current state of research and Helmholtz-Gemeinschaft Deutscher Forschungszentren, most likely down to a placebo effect, where healing is promoted by patients who are convinced of an ineffective medication's effectiveness.

Home remedies

Home remedies that have an anti-inflammatory and antibacterial effect help with gingivitis. You can use them to make a mouthwash to speed up your recovery and to relieve symptoms. Rinse your mouth several times a day with the following home remedies:

  • Chamomile tea, peppermint tea, sage tea, ginger tea and hibiscus tea
  • Lukewarm salt water
  • Warm water with three drops of tea-tree oil
  • Fresh ginger brewed with hot water

Make sure that you always let hot liquids cool down sufficiently to avoid burning your mouth in addition to having gum inflammation.

Note: Home remedies have their limitations. If your gingivitis does not go away, it is best to have it checked by a dentist.

Preventative measures: How to prevent gingivitis

There are a few things you can do to prevent gingivitis from happening in the first place – or from happening again.

Regular and good oral hygiene

Since poor oral hygiene is the top cause of gingivitis, good oral hygiene is the most effective way to prevent it. By taking special care of your teeth every day, you will reduce the chance of getting gingivitis significantly. In principle, normal oral hygiene hardly differs from the actions recommended for gingivitis sufferers. The only thing you should avoid is rinsing your mouth with chlorhexidine. Below, we have put together an overview of everything you need to know:

  • Brush your teeth for at least three minutes twice a day – in the morning after breakfast and at night before going to bed
  • Clean your interdental spaces with interdental brushes once a day

Healthy diet

In a study by the Centre for Dental Medicine of the University Hospital Freiburg, scientists investigated the connection between diet and gum health. The participants were divided into two groups: One group followed a Stone Age diet (Paleo diet) and ate only vegetables, fruit, nuts, seeds, fish and meat. The other group ate a "normal" diet, including sugar, white flour, soft drinks and processed meats.

The result: Gum inflammation in the Stone Age group dropped by almost 50 per cent. Processed carbohydrates, which are contained in sugar, flour and so on, obviously help to promote gingivitis. In contrast, complex carbohydrates from vegetables and fruit help to fight inflammation.

Even if the Paleo diet cannot be unreservedly recommended from the point of view of experts, such as the German Nutrition Society (DGE), the following advice can be given based on the study by the scientists in Freiburg: Make sure to eat as many "natural" food products as possible and reduce the number of highly processed products with simple carbohydrates you consume to a minimum.

Routine dental check-ups

Have your mouth checked regularly by your dentist – ideally twice a year. Your dentist can then directly recognise the first signs of periodontitis and prevent it from getting worse. This is important, since damage caused by periodontitis – for example, gum and bone recession – is irreversible.

Professional dental cleaning procedure

A professional dental cleaning session is a good way to prevent gingivitis as dental professionals remove the main triggers of gingivitis: Plaque and tartar. Even if you brush your teeth thoroughly and regularly, it is quite normal for plaque to build up in some places that, unfortunately, cannot even be removed with a toothbrush. By having this plaque removed once or twice a year, gingivitis can be kept at bay. The dental professionals also give your teeth a good polish to ensure plaque is unable to adhere to them so easily.

Children and gingivitis

Inflammation of the gums is not uncommon in children either. And should be treated as in adults: A rigorous toothbrushing routine is the be-all and end-all. Make sure that your child actually brushes their teeth for three minutes in the morning and three minutes in the evening.

Important: Until your child can do joined-up handwriting with ease, you should follow up at least once a day. This is the only way to make sure that every nook and cranny has been cleaned properly. Younger children are not capable of brushing their teeth thoroughly on their own. Children should also rinse their oral cavities with anti-inflammatory teas to support healing.

However, if the gum inflammation still persists after a week, please consult a dentist.

Good to know:

Babies can also get gingivitis – during the teething period. If their gums are red and swollen, you can apply some chamomile tea to the chewing area with a cotton pad and gently massage the gums with well-washed hands. A teething ring also helps your baby with teething by countering the pressure.

Sources

Braun, Rüdiger: Stress geht aufs Gebiss , at: stern.de.

The German Nutrition Society (DGE): Steinzeiternährung: Paleo .

Dr. Hager Zahnärzte: Zahnfleischentzündung – ist ein blutendes Zahnfleisch eine Erkrankung?

Gesellschaft für Zahngesundheit, Funktion und Ästhetik (GZFA): Zahnfleischerkrankungen: Ursachen und Behandlung .

Gesundheitsinformation.de: Zahnfleischentzündung und Parodontitis .

Heinrich, Christian: Wirkt Homöopathie wirklich? , at: helmholtz.de.

Imai, PH et al.: Comparison of interdental brush to dental floss for reduction of clinical parameters of periodontal disease: a systematic review , in: Database of Abstracts of Reviews of Effects. 2012.

Korn, Simon: Zahnfleischentzündung , at: netdoktor.de.

Leading Medicine Guide: Zahnfleischentzündung - Informationen und Spezialisten .

Melzer, Martina: Zahnfleischentzündung: Was hilft? , at: apotheken-umschau.de.

NDR: Parodontitis: Gesundes Zahnfleisch durch natürliche Ernährung .

Sanz, Mariano et al.: Periodontitis and cardiovascular diseases: Consensus report , in: Journal of Clinical Periodontology. 2020.

Tiefenböck, Florian: Parodontitis , at: netdoktor.de.

Ubertalli, James T., Zahnfleischentzündung (Gingivitis) , at: msdmanuals.com.

Winterhagen, Ines: Gegen Zahnschmerzen ist ein Kraut gewachsen , at: deutsche-apotheker-zeitung.de.

Woelber, J.P. et al.: An oral health optimized diet can reduce gingival and periodontal inflammation in humans - a randomized controlled pilot study , in: BMC Oral Health. 2017

All websites last accessed on 11 May 2023.

https://curaprox.zimbabwe.co.zw/blog/post/how-to-combat-gingivitis