Swiss premium oral care Swiss premium oral care

How to combat bleeding gums

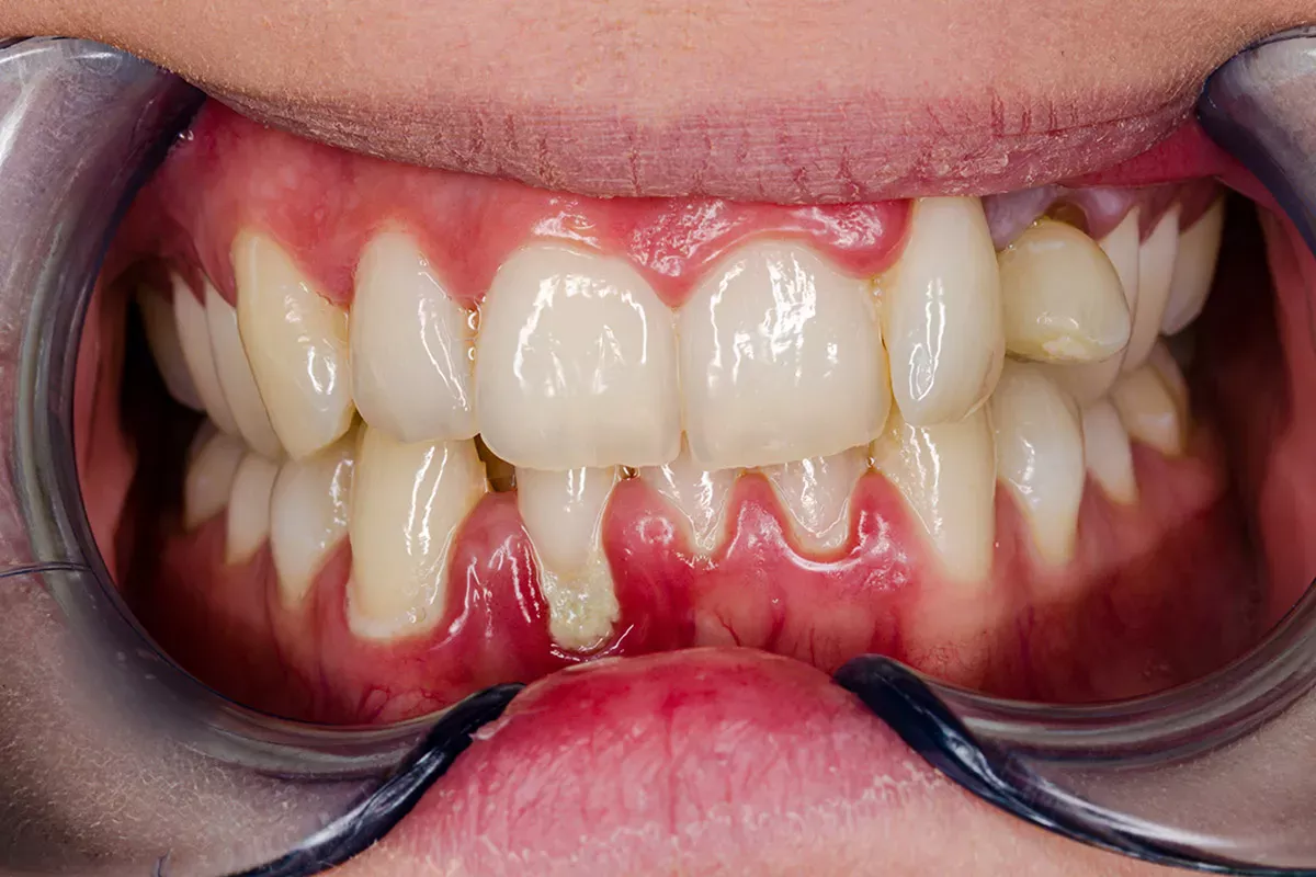
Most people have suffered from slightly bleeding gums at some point: The toothpaste you spit out when brushing your teeth is not white, but reddish; biting into a succulent apple may unexpectedly reveal traces of blood, or there is a sudden metallic aftertaste in your mouth. But what exactly does it all mean?

Discover everything you need to know about this topic here: What are the causes? Are bleeding gums harmless or can they also signal more serious underlying issues? How can you prevent bleeding gums? When should you see a health care professional?

min read
Dec 2023
https://curaprox.zimbabwe.co.zw/blog/post/how-to-combat-bleeding-gums?srsltid=AfmBOor-y9PIk4K3PDBx_KAOgVPnqeIfrE9ZvfICAtQURC9sk8zb6iXy
min read
Dec 2023
https://curaprox.zimbabwe.co.zw/blog/post/how-to-combat-bleeding-gums?srsltid=AfmBOor-y9PIk4K3PDBx_KAOgVPnqeIfrE9ZvfICAtQURC9sk8zb6iXy

Key facts in short

  • Causes: Bleeding gums are most commonly caused by gingivitis or mouth injuries. However, they can also be a symptom of an underlying health condition.
  • Treatment: In cases of acute gingivitis, diligent oral hygiene can often lead to the bleeding stopping within a week or so.
  • When should you consult a health care professional? If the bleeding does not stop after one week despite improved oral hygiene, be sure to go and see your dentist to rule out any other conditions, such as periodontitis. Your dentist may recommend a mouthwash or, if you are diagnosed with periodontitis, also suggest additional treatment options.

Definition: What do bleeding gums mean?

Healthy gums are pale pink and do not bleed. In most cases, bleeding gums are a sign of gingivitis. The gums are then red, swollen and tender. And these swollen and inflamed gums tend to bleed when brushing or flossing your teeth in the morning and at night before going to bed. The body's natural response to this inflammation is to increase blood flow to the gums, which helps facilitate the removal of bacteria responsible for the said inflammation. It is not uncommon for bleeding gums to manifest in a specific spot, such as around a molar tooth or even near a dental implant. The presence of bleeding in one area is a clear indication of localised inflammation.

Are bleeding gums harmless?

Bleeding gums are not looked at as a disease as such but rather seen as a symptom or sign of an underlying issue. Therefore, it is not possible to give a definite assessment as to whether they are harmless or not. The fact is: Since healthy gums do not bleed, bleeding gums should never be taken lightly. With correct oral care, bleeding gums may be harmless and no cause for concern, often resolving on their own. However, bleeding gums can also be an indicator of a more severe condition, including periodontitis or even leukaemia. So, if your gums keep bleeding or the bleeding is severe, you are well advised to consult a health care professional without delay.

Causes: What causes bleeding gums?

Gums do not bleed without a reason. Typically, bleeding gums are the result of gum inflammation, often stemming from inadequate or infrequent brushing of your teeth. But bleeding gums can also occur despite good oral hygiene. Find out below what causes bleeding gums.

Poor oral hygiene

The main cause of bleeding gums is poor oral hygiene. Millions of bacteria lurk in our mouths. Many of these bacteria are good and play an important role in the digestion of food. Others, however, are harmful. In cases where there is an imbalance of bacteria in the oral cavity, allowing harmful bacteria to prevail, inflammation can ensue. This happens, in particular, when bacteria are allowed to settle undisturbed in plaque and multiply readily. Plaque forms within 24 hours and consists of food debris and bacteria.

If this plaque is not removed through regular brushing at least twice a day, it eventually hardens into tartar, which cannot be effectively removed with just a toothbrush. Bacteria love to nestle on the rough surface of the tartar, where they continue to multiply and spread easily. The problem: These bacteria release toxic substances that can harm the gums and trigger inflammation. In response, your body increases the flow of blood to the affected area to eliminate the bacteria responsible for the attack. And this causes your gums to bleed.

Gingivitis

Gingivitis is the technical term for inflammation of the gums. In addition to bleeding gums, swollen and reddened gums are also clear signs of acute gingivitis. When maintaining good oral hygiene practices, gingivitis, and consequently, bleeding gums, should usually resolve within one to two weeks. As a rule, gingivitis is not painful. However, if acute gingivitis remains untreated and gum bleeding continues to occur, additional symptoms, like toothache and bad breath, may develop.

Periodontitis

If chronic gingivitis is not treated, the inflammation will continue to spread. The consequence: Periodontitis. In addition to bleeding gums, far more severe symptoms may develop in such cases: The gums pull away from the tooth, leading to the formation of gum pockets and exposed necks. The inflammation not only affects the gums, but also the periodontium. In severe cases, the jaw bones also recede, causing teeth to lose their firm position in the periodontium and, in the worst-case scenario, to fall out. Periodontitis is the leading cause of tooth loss in individuals aged 40 and over.

By the way, periodontitis cannot be cured and cannot be reversed. Dental treatment can only stop its further progression. It is therefore crucial to take bleeding gums seriously as a potential initial indication of periodontitis and to seek dental treatment if the inflammation does not settle within a week or so.

Good to know:

Periodontitis has to be taken seriously. This is because the bacteria can enter the bloodstream through the gums and spread throughout the body, potentially affecting vital organs such as the heart and the brain. Hence, periodontitis is regarded as a risk factor for a wide array of serious diseases: The risk of heart attacks and strokes increases, and individuals with periodontitis are also at greater risk of experiencing a severe bout of COVID-19. Therefore: When dealing with bleeding gums, it is better to see your dentist once too often than once too late.

Injury to the gums

Nevertheless, it is important to note that bleeding gums are not always caused by inflammation. Flossing too hard and accidentally forcing the dental floss too far into your gums can also lead to bleeding. In this case, it is an injury. Similarly, a toothbrush that is too hard or used with too much force can quickly lead to bleeding gums.

Some people may experience bleeding gums and discomfort following a professional dental cleaning session. This can happen especially if your gums are already inflamed and particularly sensitive to the pressure exerted by professional dental equipment.

Gum injuries are usually harmless. Nonetheless, it is essential to monitor such cases closely, as bacterial buildup in wounds can contribute to gum inflammation.

Good to know:

If your gums bleed while using interdental brushes or dental floss to clean between your teeth, it does not necessarily indicate an injury. This is particularly true if you have failed to clean your interdental spaces regularly in the past. In this case, there is often some pre-existing minor gingivitis that becomes evident through bleeding gums.

However, this does not mean you should stop cleaning the gaps between your teeth. Quite the contrary! The inflammation can only be combated by thorough cleaning. Bleeding gums typically cease within a week once the inflammation has decreased. Therefore: Even if your gums are bleeding, continue to clean your interdental spaces at least once a day.

With an interdental brush in the right size, you can ensure that even hard-to-reach areas are free of plaque. You can find out how to clean with an interdental brush and find the right size for your teeth here in the instructions:

Cleaning interdental spaces correctly

Bleeding gums as a symptom of diseases and medical conditions

If you experience bleeding gums despite maintaining good oral hygiene, an underlying medical condition may be the contributing factor.

Fungal infections

Oral thrush, for example, is a fungal infection caused by the overgrowth of Candida albicans in the oral cavity. Other symptoms include white patches and red gums. Removing these patches often exposes inflamed and frequently bleeding gums.

Viral infections

Viral infections like herpes, Epstein-Barr or cytomegalovirus can impact the oral mucosa and, particularly in children, result in bleeding gums. This is, however, relatively rare.

Diabetes

Besides suffering chronically elevated blood sugar levels, diabetics also have increased sugar levels in their saliva and in the fluid between their teeth and gums, known as sulcus fluid. Since bacteria thrive on sugar, they find this environment particularly favourable and tend to multiply rapidly in such conditions. This is the reason why individuals with diabetes face an elevated risk of dental decay, periodontitis and, consequently, bleeding gums.

When a diabetic's blood sugar levels are poorly controlled, it can additionally weaken their immune system, making it easier for bacteria to thrive and cause oral health issues.

Disorders of the thyroid gland

Bleeding gums can also be a symptom of thyroid disorders, like hyperthyroidism or hypothyroidism, as well as autoimmune conditions, like Hashimoto's thyroiditis, a chronic inflammation of the thyroid gland. The hormonal imbalance associated with thyroid disorders can weaken the immune system, creating favourable conditions for bacteria to thrive, thereby leading to a quicker onset of inflammation. Scientists suspect that similar bacteria may play a role in both Hashimoto's thyroiditis and gingivitis.

Liver disease

The cause of bleeding gums may also be found in the liver: Bleeding gums can be a symptom of chronic liver diseases, such as liver fibrosis and liver cirrhosis.

Von Willebrand disease

This disease is a bleeding disorder that affects the ability of blood cells to stick together (clot) and can cause heavy bleeding. Sufferers are also prone to nosebleeds and bruise easily or suffer large bruises.

Oral cancer

Tumours in the jaw area can lead to unexplained gum bleeding. Since loose teeth can also be a symptom of cancer in the oral cavity, this disease is sometimes initially confused with periodontitis. Other potential symptoms of oral cancer include a sensation of a foreign body or a feeling of numbness and reduced tongue mobility, making it difficult for the person affected to swallow and talk. Tumours in the oral cavity are typically not painful at first and are, therefore, often only discovered at advanced stages. All the more reason to take bleeding gums seriously and, if in doubt, to seek medical attention.

Leukaemia

One of the earliest signs of leukaemia, a type of blood cancer, is swollen gums that bleed lightly for several minutes. This occurs as a result of disrupted blood clotting due to the disease. Leukaemia cells infiltrate the gums, triggering the inflammation. Since the immune system is weakened by the disease, it is unable to defend itself against the attack. In fact, for a quarter of children with leukaemia, bleeding gums were the initial indication of the disease.

HIV

Individuals infected with HIV often experience very red, swollen and bleeding gums.

Bleeding gums as a side effect of medications

Bleeding gums can also emerge as a side effect of medications, particularly blood thinners. Such medications are commonly prescribed to individuals following a heart attack or as a preventative measure against thrombosis.

Moreover, certain medications can lead to gingival overgrowth, thus increasing the likelihood of gingivitis and subsequent gum bleeding. These include drugs for high blood pressure, anti-epileptic drugs and immunosuppressive drugs prescribed after undergoing an organ transplant or for autoimmune disorders.

Chemotherapy and radiation therapy

Cancer treatment frequently induces inflammation of the oral mucosa in patients, which is often triggered by radiation therapy or chemotherapy drugs. Cancer patients are especially prone to inflammation in the mouth, leading to a frequent occurrence of bleeding gums.In cases where chemotherapy or radiation therapy damages the bone marrow, the body may become incapable of producing an adequate number of platelets. This condition is referred to as thrombocytopenia – a deficiency of blood platelets. One of the symptoms of thrombocytopenia is bleeding gums.

Stress

A study by the University of Zurich has shown that stress and bleeding gums go hand in hand. Fifty medical students participated in the study: Half of them were about to sit their exams, while the other half were going about their regular university activities. The result: The gums of the examinees had worsened significantly by the final day of the exams compared to four weeks earlier. Six participants suddenly had severe gum inflammation. In the other group, only one of the participants suffered new dental problems.

The exact reason for this has not yet been established through scientific research. One possible explanation is that the heightened concentration of stress hormones might adversely impact gum health. Additionally, individuals under stress may fail to maintain a long-term healthy lifestyle and might also neglect their oral hygiene practices.

Diet

Consuming a lot of sugar provides a favourable environment for bacteria, allowing them to thrive and spread rapidly. Sugar generally promotes inflammation throughout the human body and is also a common contributor to gum bleeding through the development of gingivitis.

Dry mouth

If you suffer from bleeding gums at night, it may be because you breathe through your mouth, which can lead to dryness in the mouth. This often happens if you have a cold and cannot breathe through your nose. If you have a dry mouth, the protective benefits of saliva are not available, making it easier for bacteria to multiply and spread. Dry mouth can stem from various causes, including medications, medical conditions and unhealthy lifestyle habits, like smoking, excessive alcohol consumption or not drinking enough water.

Dry mouth: Causes and remedies

Hormonal fluctuations

Hormonal fluctuations when breastfeeding or during pregnancy, menstruation or menopause can also contribute to bleeding gums. Certain hormones may increase the risk of receding gums, making the gums more susceptible to bacterial intrusion. This can expedite the onset of gum inflammation, accompanied by bleeding gums. Furthermore, the increased blood supply to the gums can render them more sensitive during hormonal fluctuations. This also applies to artificially induced hormonal fluctuations – for example, through hormonal contraceptives, like birth control pills.

Vitamin deficiency

Bleeding gums can also result from a lack of sufficient levels of vitamins C and K in the body. Vitamin K plays a role in blood clotting, while vitamin C is involved in all phases of wound healing. A deficiency in vitamin D has also been associated with bleeding gums. If periodontitis patients have elevated levels of vitamin D3, their gums tend to bleed less and the gum pockets are not as deep. Vitamin B12 is involved in saliva production. Thus, a deficiency in vitamin B12 can lead to dry mouth, which, in turn, can contribute to bleeding gums. Causes of vitamin deficiency include an imbalanced diet, excessive alcohol consumption and various conditions, such as anorexia.

Good to know:

Bleeding gums are not only a symptom of a nutrient deficiency but can also potentially trigger another deficiency: Iron deficiency. In cases of chronic bleeding gums, the body may lose iron at a rate of one milligramme for every two millilitres of blood lost. Iron deficiency can, for instance, lead to fatigue and a feeling of weakness and dizziness.

Bleeding gums after quitting smoking

Some individuals may experience bleeding gums after giving up smoking. One explanation: Smoking tends to reduce the blood supply to the entire oral region, which can result in less frequent gum bleeding, even when the gums are swollen. This situation can pose severe risks for smokers, since they may not detect gum inflammation and, as a result, continue to develop periodontitis without being aware of it. In fact, the risk of developing periodontitis is about seven times higher for smokers than for non-smokers. So, if you experience bleeding gums after quitting smoking, it may indicate that a normal supply of blood to your gums has resumed and you might be dealing with gingivitis.

Allergies

Localised gum bleeding can signal an allergy to dental fillings or denture materials in certain individuals. Once the corresponding material has been removed, the gums usually stop bleeding.

Causes of bleeding gums in babies and children

Babies and children can also experience occasional gum bleeding. This can be attributed to the following reasons:

Dental caries

If your child's gums bleed and become swollen when they brush their teeth, it could indicate the presence of dental decay. It is advisable to have a dentist assess this issue to prevent potential long-term damage to your child's permanent teeth due to dental caries.

Aphthous oral infection

Young children aged between one and three years can also contract an aphthous oral infection. This is a very painful viral infection that results in the development of small blisters throughout the entire oral region, which eventually progress into small oral sores. Bleeding gums may also occur.

Teething

Heavy gum bleeding in babies and toddlers is uncommon during the teething process, but parents may occasionally notice a small trace of blood in their child's saliva. This affects the front teeth more than the molars. The gums may also become red, swollen and inflamed.

Good to know:

Using a teething ring can provide relief and help ease the pain of teething for babies and toddlers. Particularly practical: Besides stimulating the senses with their rattle, fascinating textures and integrated learning toothbrush, Curaprox teething rings also playfully prepare your baby for the day when they start brushing their teeth.

Treatment: How can bleeding gums be stopped?

To address bleeding gums effectively, it is essential to identify and address the underlying cause first. In principle, the following three reasons exist:

  1. Bleeding gums due to gingivitis
  2. Bleeding gums due to injury to the gums
  3. Bleeding gums as a symptom of a disease or side effect of medication

In the following section, we will explore what you can do to quickly stop gums bleeding. Long-term treatment for bleeding gums primarily revolves around maintaining good oral hygiene practices and adopting a healthy lifestyle. We provide a detailed description of what this entails in the section on preventive measures.

When should you consult a health care professional?

In the case of acute gingivitis, you should pay special attention to thorough oral hygiene to facilitate the healing of the inflammation – which also includes daily cleaning of your interdental spaces. If, despite maintaining thorough oral hygiene, your gums continue to bleed for over a week, it is advisable to consult a dentist as a precautionary measure.

During the examination, your dentist will carefully examine your gums using a special probe that assesses the depth of the pockets between the gums and the teeth. This is how a dentist determines whether periodontitis has already developed.

A dentist can also discern whether the root cause of the bleeding gums is localised within the mouth or if it may be linked to another underlying disease. If this is the case, your dentist may recommend that you undergo further tests with a specialist or go and see your family doctor. To effectively combat bleeding gums, it is imperative to treat the underlying condition.

How are bleeding gums treated?

If gingivitis or periodontitis is the underlying cause of your bleeding gums, your dentist will typically remove plaque and tartar to eliminate the bacteria responsible for the condition. Additionally, your dentist may suggest employing an antibacterial mouthwash. If your dentist has diagnosed periodontitis, further appointments may be necessary, which can sometimes involve a surgical procedure.

Mouthwashes and ointments against bleeding gums

The gold standard for fighting bacteria in the mouth is the active ingredient chlorhexidine. Once all the bacteria have been killed, the inflammation also disappears. If your gums only bleed in one spot, you can simply apply a gel directly to that spot. If your gums bleed in several spots, using a mouthwash can effectively address inflammation across a wider area. However, since chlorhexidine kills all bacteria in the mouth – both good and bad – and can potentially lead to a yellowish discolouration of your teeth and an altered taste sensation, only use products containing chlorhexidine if you have been recommended to do so by your dentist.

Good to know:

Products of the Curaprox Perio Plus range not only incorporate the established active ingredient chlorhexidine but also use Citrox® – a natural extract from bitter oranges that enhances the efficacy of chlorhexidine and prevents the adhesion of plaque to the teeth. Thanks to the enhancing properties of Citrox®, Perio Plus products contain very little chlorhexidine, resulting in substantially less discolouration and no altered taste sensation.

Toothpaste against bleeding gums

You might be wondering which toothpaste is best for bleeding gums. Using a toothpaste that combats the bacteria responsible for inflammation is advisable. On the one hand, there are antibacterial toothpastes containing chlorhexidine which can be used alongside a mouthwash or gel. Additionally, the toothpaste should be mild to protect the already irritated gums. Therefore, it is advisable to avoid aggressive bleaching agents and harmful ingredients such as the chemical foaming agent SLS, which can further irritate and dry out the mouth's mucous membranes. Toothpaste with a high abrasive effect is also unsuitable as it can further irritate the gums.

Toothpaste with a high abrasive effect not only irritates inflamed gums but also gradually erodes the enamel of your teeth, which cannot regenerate. The extent to which toothpaste affects the enamel can be determined by its RDA factor (relative dentin abrasivity). A very mild toothpaste suitable for sensitive teeth or gingivitis with bleeding gums typically has an RDA value of below 60. Above an RDA value of 100, toothpastes are deemed to be harmful to tooth enamel and not suitable for daily use. Most conventional toothpastes have RDA values of between 70 and 100.

Good to know:

The Enzycal toothpastes from Curaprox have RDA values of between 30 and 60, making them particularly mild. They additionally contain three natural enzymes also found in saliva that stimulate the flow of saliva. By stimulating the flow of saliva, the Enzycal toothpastes from Curaprox naturally and gently enhance the body's bacterial defence mechanisms. A huge bonus: They steer well clear of detrimental ingredients, like SLS, triclosan and microplastics.

Stopping bleeding gums with home remedies

What home remedies help when gums will not stop bleeding? And how can you stop bleeding gums if you have been taking blood thinners?

Home remedies against acute cases of bleeding gums

To stop acute gum bleeding, gently press a clean compress, piece of gauze or cotton pad onto the affected area. Holding an ice cube on the bleeding area can also help constrict blood vessels and stop the bleeding more quickly. But be careful: If you have very sensitive teeth, this method may not be ideal.

Home remedies against gingivitis

After you have stopped the acute bleeding, it is crucial to address the underlying inflammation. Home remedies can complement your oral and dental care routine and boost the healing process. Rinse your mouth several times a day with the following home remedies:

  • Fresh ginger tea (anti-inflammatory and antibacterial effect)
  • Two teaspoons of apple cider vinegar in warm water (stimulates the flow of saliva)
  • Chamomile flower tea (anti-inflammatory and wound-healing effect; also for fungal infections)
  • Salt water (antibacterial effect and moistening of the oral mucosa)
  • Oil pulling with coconut oil or clove oil (antibacterial and anti-inflammatory effect)
  • Peppermint tea, sage tea, green tea, hibiscus tea (anti-inflammatory effect)

Important: Always ensure that hot liquids have cooled down to a safe temperature before rinsing your mouth to prevent any risk of scalding.

Alternative treatments

Homoeopathic remedies in the form of globules are also available for tackling bleeding gums. The German magazine Deutsche Apotheker Zeitung recommends Mercurius solubilis D12 for slightly bleeding gums and Silicea D12 for periodontitis with bleeding gums. However, the magazine also advises readers to go and see a dentist if their symptoms do not get better. If you want to use homoeopathic remedies, it is best to consult an alternative health practitioner.

Important: In the case of periodontitis, homoeopathic remedies can only be used as a supplement to the actual treatment. As periodontitis is a serious condition with potentially severe consequences, dental treatment is essential, and there is no way around it. Further, please keep in mind that there is no scientific evidence to back up the effectiveness of homoeopathic treatments.

In Traditional Chinese Medicine (TCM), bleeding gums are associated with problems of the stomach or spleen.

Preventative measures: Four tips against bleeding gums

The best remedy for bleeding gums is healthy gums. Here are four tips on how to avoid bleeding gums in the long term.

1. Brushing teeth correctly

Since the most common cause of bleeding gums is poor oral hygiene, improving it offers the greatest potential here. By diligently removing plaque twice a day, you can prevent bacteria from thriving and causing inflammation in the first place. Therefore:

  • Brush your teeth for at least three minutes twice a day – in the morning after breakfast and at night before going to bed
  • Clean your interdental spaces once a day – ideally with interdental brushes
  • Clean your tongue once a day with a tongue scraper
  • Use a mouthwash with chlorhexidine for acute inflammation, and only if you have been recommended to do so by your dentist

Short instructions: The correct toothbrushing technique

Position the brush at a 45-degree angle where the teeth meet the gums, and at an upward sloping angle in the upper jaw and a downward sloping angle in the lower jaw. Now brush the inner sides, outer sides and chewing areas from one side to the other in gentle, circular movements. Hold the toothbrush in your hand as you would hold a pencil. This allows you to make much more precise movements and clean more thoroughly.

Instructions: Brushing teeth correctly

2. Using the right toothbrush

If you believe using a hard toothbrush results in particularly thorough cleaning, you are mistaken. In fact, the opposite is true: Hard toothbrushes are too rigid to effectively remove plaque from the entire tooth surface. Furthermore, hard toothbrushes have a relatively small number of filaments on the brush head. Since: The more filaments a toothbrush has, the softer they have to be. Soft filaments can flexibly adapt to the tooth surface, effectively and thoroughly removing plaque. They are also much gentler on your gums and do not cause bleeding. Using hard toothbrushes can lead to gum bleeding, even when the gums are not inflamed.

Good to know:

Curaprox toothbrushes feature densely packed brush heads with lots of soft filaments. The product names are intended to provide a clear indication of the quantity of filaments on each toothbrush. For example, the CS 5460 has precisely 5,460 filaments, while the CS 12460 velvet has 12,460 filaments and ensures a velvety-soft toothbrushing experience. In comparison: Conventional toothbrushes often have only 500 filaments.

3. Paying attention to a healthy diet

If you want to avoid bleeding gums, do not snack too much. Since sugar is the perfect environment for bacteria but poison for your gums and teeth. Rather than exacerbating inflammation through a high-sugar diet, you can use food to improve your health. Below we have listed a few anti-inflammatory foods that you should incorporate into your daily diet. Nutrition experts recommend:

  • Three handfuls of vegetables daily – preferably cooked or raw
  • Two handfuls of low-sugar fruit daily (for example berries)
  • Eat two to three meals a day, preferably no snacks
  • Spices: Turmeric, ginger, chilli, black pepper, nutmeg, curry powder
  • Cold water fish (salmon, herring, mackerel) and vegetable oils (linseed oil, hemp oil, walnut oil) for omega-3 fatty acids
  • Olive oil
  • Garlic and onions
  • Drink at least two litres of sugar-free beverages daily (water or unsweetened tea)

When craving sweets, opt for berries, nuts or dark chocolate containing over 70 per cent cocoa for a healthier choice.

4. Routine check-ups and professional dental cleaning

Going to the dentist regularly and having your tartar and plaque removed in a professional dental cleaning procedure helps eliminate opportunities for bacteria to multiply uncontrollably and reduces the likelihood of bleeding gums. Furthermore, during routine check-ups, your dentist can promptly identify the onset of periodontitis and initiate preventive measures.

Sources

Assad, Noure et al.: Effectiveness of Apple Cider Vinegar and Mechanical Removal on Dental Plaque and Gingival Inflammation of Children With Cerebral Palsy , in: Cureus. 2022.

Apothekenumschau: Parodontitis .

Biologische Zahnmedizin Dr. Oliver Adolphs: Vitamin D3 .

Braun, Rüdiger: Stress geht aufs Gebiss , at: stern.de.

Deshpande, Anshula et al.: Effect of green tea, ginger plus green tea, and chlorhexidine mouthwash on plaque-induced gingivitis: A randomized clinical trial , in: Journal of Indian Society of Periodontology. 2021.

German Cancer Society: Mundschleimhautentzündung als Nebenwirkung einer Krebstherapie .

Dentalmagazin: Zahnfleischbluten hat viele Ursachen .

Dr. Hager Zahnärzte: Zahnfleischentzündung – ist ein blutendes Zahnfleisch eine Erkrankung?

Farspour Zahnarztpraxis: Zahnfleischbluten – Alarm in der Mundhöhle.

Gesellschaft für Zahngesundheit, Funktion und Ästhetik (GZFA): Zahnfleischerkrankungen: Ursachen und Behandlung.

Gesundheitsinformation: Pilzinfektion der Mundhöhle (orale Candidose) .

Gomes Amaral, Taisa et al.: Systematic Review on the Use of Homeopathy in Dentistry: Critical Analysis of Clinical Trials , in: The Journal of Alternative and Complementary Medicine. 2021.

Goyal, Sachin: Stress and periodontal disease: The link and logic!! , in: Indian Psychiatry Journal. 2013.

Hacke, Daniela: Selbstheilungskräfte stärken bei chronischer Parodontitis , at: carstens-stiftung.de.

Heinrich, Christian: Wirkt Homöopathie wirklich? , at: helmholtz.de.

Imai, PH et al.: Comparison of interdental brush to dental floss for reduction of clinical parameters of periodontal disease: a systematic review , in: Database of Abstracts of Reviews of Effects. 2012.

German National Association of Statutory Health Insurance Physicians: Ursachen und Auswirkungen.

Korn, Simon: Zahnfleischentzündung , at: netdoktor.de.

Kostenfalle-zahn.de (an offer of the Federation of German Consumer Organisations): Wie wird eine Parodontitis behandelt? .

Kwon, TaeHyun et al.: Current Concepts in the Management of Periodontitis , in: International Dental Journal. 2021.

Marouf, Nadya et al.: Association between periodontitis and severity of COVID-19 infection: A case–control study , in: Journal of Clinical Periodontology. 2021.

Kahle, Charly: Mundfäule , at: meine-gesundheit.de

Klinikum Saarbrücken: Patienteninformation zum Mundhöhlenkarzinom .

Krebs & ich: Thrombozytopenie – Nebenwirkung der Chemotherapie .

NDR: Richtige Ernährung ist hilfreich gegen Parodontitis.

NDR: Parodontitis: Gesundes Zahnfleisch durch natürliche Ernährung .

Praxis für ganzheitliche Zahnmedizin: Vitamine für schöne Zähne und gesundes Zahnfleisch .

Probol, Britta: Entzündungen mit gesunder Ernährung lindern , at: ndr.de.

Rajas, E. et al.: Gingival Bleeding - Systemic Causes, in: European Journal of Molecular & Clinical Medicine. 2020

Rutkowski, Hanna: Zahnfleischbluten , at: netdoktor.de

Sanz, Mariano et al.: Periodontitis and cardiovascular diseases: Consensus report , in: Journal of Clinical Periodontology. 2020.

Slot, D.E. et al.: The efficacy of interdental brushes on plaque and parameters of periodontal inflammation: a systematic review , in: International Journal of Dental Hygiene. 2008.

Ubertalli, James T., Zahnfleischentzündung (Gingivitis) , at: msdmanuals.com.

Wallner, Katharina: Wenn Babys zahnen , at: newmom.at.

Winterhagen, Ines: Gegen Zahnschmerzen ist ein Kraut gewachsen , at: deutsche-apotheker-zeitung.de.

Woelber, J.P. et al.: An oral health optimized diet can reduce gingival and periodontal inflammation in humans - a randomized controlled pilot study , in: BMC Oral Health. 2017

Zahnärzte Dr. Voigt: Immunsystem und Covid: Zahnfleischbluten besonders riskant!

Zahnärzte in Lübeck: Zahnfleischbluten – gefährlich oder harmlos?

Ziegelbauer, Katharina: Zahnfleischbluten - 3 Ursachen nach TCM und Ernährungstipps , at: ernaehrungsberatung-wien.at.

All websites last accessed on 5 June 2023.

https://curaprox.zimbabwe.co.zw/blog/post/how-to-combat-bleeding-gums?srsltid=AfmBOor-y9PIk4K3PDBx_KAOgVPnqeIfrE9ZvfICAtQURC9sk8zb6iXy